Cosmetic Dentistry
Cosmetic dentistry tailored to improve appearance while preserving long-term dental health.
Cosmetic Dentistry & Smile Makeover
Enhance the beauty of your smile with advanced aesthetic dental treatments designed for natural-looking, long-lasting results.
Your smile is the first thing people notice. Cosmetic dentistry focuses on improving the appearance, color, shape and alignment of teeth while maintaining complete oral health. Our goal is not only to make your teeth look beautiful — but to make you feel confident while smiling, speaking and socializing.
WHAT IS COSMETIC DENTISTRY
Cosmetic dentistry is a specialized branch of dentistry that enhances the appearance of teeth, gums and overall smile. It corrects issues such as discoloration, uneven teeth, gaps, worn edges and crooked alignment using minimally invasive and advanced techniques.
Modern cosmetic procedures allow patients to achieve a natural smile without damaging healthy tooth structure.
A cosmetic dentist can provide services that go far beyond what most people expect, such as veneers and teeth whitening. You can improve your appearance, smile, and even your self-esteem and confidence with the help of a qualified, experienced cosmetic dentist.
As our cosmetology services have advanced, dentists can now address patient’s practical and aesthetic issues and provide simple and sophisticated solutions for improving their smile, depending on the patient’s desired result.
Treatments in Cosmetic Dentistry
Teeth Whitening
Professional teeth whitening is a safe and non-invasive procedure designed to lighten the natural shade of teeth and remove stains caused by tea, coffee, tobacco, and aging. Using clinically approved whitening systems, discoloration is gently lifted without harming the enamel. The treatment is quick, comfortable, and delivers visibly brighter results in a single visit, enhancing overall smile appearance and confidence
Tooth-Colored Fillings
Tooth-colored fillings, also known as cosmetic bonding, use advanced composite resin material to repair chipped, cracked, or decayed teeth. The material blends seamlessly with the natural tooth shade, restoring both strength and appearance. This minimally invasive treatment improves tooth contour and eliminates dark metal fillings, resulting in a more natural and refined smile.
Smile Makeover
A smile makeover is a personalized combination of cosmetic dental procedures planned according to facial proportions, lip line, and tooth structure. Treatments may include whitening, veneers, bonding, and alignment correction. The goal is to achieve harmony between teeth, gums, and facial features, resulting in a balanced, natural-looking, and confident smile.
Alignment Correction (Orthodontic Cosmetic Treatment)
Correcting misaligned or crowded teeth improves not only appearance but also oral health. Modern orthodontic options such as clear aligners and aesthetic braces gradually reposition teeth into proper alignment. This treatment enhances bite function, improves oral hygiene maintenance, and provides a straighter, more attractive smile.
Treatment of Gaps
We provides best treatment for correction of gaps in teeth. The treatment includes minimal invasive procedure like composite restoration to correct mild gaps. For the moderate gaps between the teeth can be corrected by porcelain veneers.In case of large gaps, the best treatment remains orthodontic treatment
Correction Of Fluoride Stain
Dentalplusdelhi providing best treatment for Correction of Fluoride Stain. For the mild to moderate fluoride stain, the best treatment remains composite veneering. severe fluoride stain cases can be managed by porcelain veneering. Bleaching or teeth whitening procedures can be done in very mild case but the results are not predictable.
Dental Veneers
Dental veneers are ultra-thin ceramic or porcelain shells bonded to the front surface of teeth to improve their color, shape, size, and alignment. They are an ideal solution for chipped, stained, uneven, or slightly misaligned teeth. Veneers are custom-designed to match facial features and natural tooth shade, creating a symmetrical and aesthetically pleasing smile while preserving healthy tooth structure.
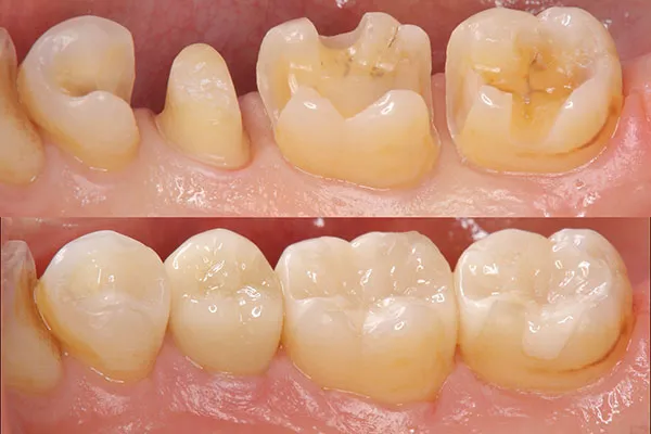
Inlays & Onlays
Inlays and onlays are conservative restorative treatments used when a tooth is moderately damaged but does not require a full crown. Fabricated from high-strength ceramic materials, they restore the natural shape and chewing function of the tooth while maintaining maximum healthy structure. These restorations are durable, aesthetic, and blend naturally with surrounding teeth.
Frequently Asked Questions
Everything you need to know before and after your dental treatment.
Are there any side effects of bleaching?
Although bleaching is a safe procedure, you may experience a few short-lived side effects such as tingling sensations or sensitivity. However, it does not last for too long. In the worst-case scenario, mild sensitivity may be a maximum of 24 hours but can be countered by the use of a medicated mouthwash, toothpaste or anti-inflammatory tablet.
Does cosmetic contouring hurt?
No, cosmetic contouring is painless, does not require anaesthesia and has no recovery time after the treatment is completed.
Are dental X-rays safe?
Yes. We use digital X-rays that emit very low radiation and are completely safe for patients.
What foods should I avoid after dental treatment?
Avoid very hard, sticky, or extremely hot foods immediately after treatment. Soft foods are recommended for the first 24 hours.
How can I book an appointment?
You can schedule your appointment online at dentalplusdelhi.com/make-an-appointment, or reach us by calling 040‑4142 0000 or via WhatsApp at 8500779000 for quick assistance.
Do you treat children?
Yes. We provide gentle dental care for children and focus on preventive treatments and oral hygiene education.
What is a smile makeover?
A smile makeover is a combination of cosmetic dental treatments such as teeth whitening, veneers, or alignment correction to improve the appearance of your smile.
What are the causes behind the discolouration of teeth?
There are various causes that can discolour teeth internally and externally. While drinking beverages like wine, tea or coffee and chewing tobacco can cause external staining, consumption of excessive fluoride during tooth formation, medical treatments can stain teeth internally.
What safety measures are in place at Dentalplusdelhi?
Dentalplusdelhi adheres to the highest standards of clinical safety, including:
Advanced dental disinfection protocols
Class B autoclave sterilization
Use of disposable dental kits and PPE
HEPA air purification systems
Regular sanitization of treatment areas
Contactless check-in and digital records management
Your safety is our top priority at every stage of your visit.
What are Partha Dental clinic timings?
All Partha Dental clinics operate 7 days a week, from 9:00 AM to 9:00 PM, ensuring convenient access for all patients.